- 11조(목아프조)
- 임성근, 이금철, 이해원
- 2019.04.01 ~
- 2019.12.16(월)
- 장경선 교수님
-- 하드웨어
- CPU : Intel i7-8700K(커피레이크)
- RAM : 32GB -GPU : NVIDIA Geforce 1080 Ti
-- 소프트웨어
- language : python3.6
- development tool : pycharm, jupyter-notebook
- cuda : 10.0
- cudnn : 7
- API : keras
- OS : ubuntu 16.04
목 초음파 이미지에서 신경부위 세그멘테이션을 하는 모델을 만드는 것과 모델의 성능(정확도)을 향상시키기 위해 여러가지 환경을 변화시키면서 이를 연구하는 것.
-- Train data set : 11270
-- Test data set: 5508
- Batch Size 조절
- Epoch 조절
- Validation split 계수 조절
- Dropout 계수 조절
- Suffle
- Layer 조절
- Activation 함수 변경
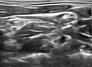
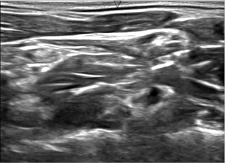
실제 환자 초음파 이미지 학습을 통해 얻은 마스킹 이미지
train데이터르 이용하여 validation의 dice coefficient(다이스 계수)를 측정한 결과이다.
test셋은 kaggle에서 채점하기에 기입하지 않는다.
Early Stopping을 설정하지 않고 실행한 성능 결과
Early Stopping을 설정하고 실행한 성능 결과
https://github.com/GeorgeBatch/ultrasound-nerve-segmentation
https://www.kaggle.com/c/ultrasound-nerve-segmentation/overview



